恵比寿のラミネートベニア・矯正専門院

歯並びも白さも手に入る、新しい選択肢 歯を削らない最先端の
セラミック治療

黒基調の完全個室空間
土日祝も診療可能
恵比寿駅西口 徒歩3分

ご予約・お問い合わせはこちら

IB CLINIC(アイビークリニック)のご予約は、
お電話またはWEB予約、
公式LINEにて承っております。
ご質問などに関しましても
お気軽にお問い合わせください。

CASE
最新セラミック治療で、
あなたの笑顔を最も美しいレベルへ
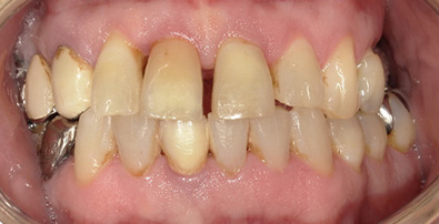
Before
After
【本数】16本 【通院回数】2回
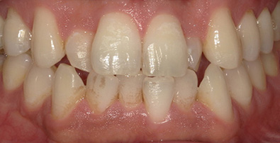
Before
After
【本数】16本 【通院回数】2回
Before
After
【本数】20本 【通院回数】2回
IB WHITE
IBホワイトのご案内

自分の歯を削らずに、理想の歯を目指す

削らないセラミック
「IBホワイト」

POINT.01
最短2回・翌日には綺麗な歯に
POINT.02
削らない・痛くない
POINT.03
元の状態の歯に戻すことができる
「令和の虎」出演医師が
IBホワイトを監修
Ittoku Sato
グループ院長佐藤 一徳

CONCEPT

歯が変われば、表情も変わる

あなたの笑顔を、
最も美しいレベルへ。

Your Smile to its highest potential
グループ院長佐藤 一徳Ittoku Sato
MORE

より綺麗になる為のお手伝い
させてください。

はじめまして、佐藤一徳 と申します。
私は施術と同じ位、カウンセリング時間を大切にしています。勇気を出して足を運んでくださった患者様の想いや、お悩みを細部まで引き出します。患者様には、正しい知識と情報を得てから施術に臨んでいただきたいと考えておりますので、カウンセリングを通じてコミュニケーションを念入りに行います。
「安心してお任せできる」「信頼できる」という思いで施術を受けていただけるよう努力しています。
「何をしたら綺麗になれるのか」というアバウトなご相談でも、何でも結構です。皆様の想いを是非お聞かせください。私も全力でお応えさせていただきます。
私に、「より綺麗になる為のお手伝い」をさせてください。皆様にお会いできる日を楽しみにしております。
ここまでお読みいただきまして、ありがとうございました。

経歴
日本歯科大学卒業
美容歯科医療協会会員
医療法人慈皓会波多野歯科医院入職
神奈川歯科大学デジタル科入職
下村歯科医院入職
医療社団法人MER理事長
SK新宿歌舞伎町美容外科オーナー
Nクリニック伏見オーナー
一般社団法人医科歯科連携協会代表理事
資格
アラガン社ジュビダームビスタ認定医
アラガン社ジュビダームビスタバイクロス認定医
アラガン社ボトックスビスタ認定医
MENU
診療メニュー
審美と健康の両方を追求し、
理想を叶える最も美しい歯へ。
REASONS
IB CLINICが選ばれる理由

美学を持つ医師が叶える
圧倒的な審美クオリティ

お口元の美しさを追求する美のスペシャリストとして、ただ治すだけではなく「美しさ」という価値を最大限に引き出す治療をご提供します。

機能性と審美性を追求した、
ワンランク上の治療を

豊富なメニューから
最適な治療法をご提案

お悩みやご希望を丁寧に伺い、口元の状態をしっかり診断したうえで、あなたに最も適した治療法を組み合わせてご提案いたします。

腫れ・痛みに配慮した
治療の追求

「腫れない・痛くない医療」を常に追求し、手技だけではなく、麻酔、針、器具など患者様に触れるすべてのものに妥協いたしません。

個室診療室完備・
カウンセリングルーム完備

カウンセリングルームを完備しております。プライベートに配慮し個室を完備しておりますので、周囲の視線や会話を気にする必要がありません。

説明の徹底
質問しやすい環境作り

治療前に十分な説明を行い、納得して頂いてから治療を行います。不安な事、分からない事等、何でもお気軽にお問い合わせ下さい。

最短1日で治療が完了

患者様のご予定や生活リズムを考慮し、効率的で負担の少ない治療計画を立てています。最短1日で治療を完了できるメニューも多数導入しています。